Хирургическая стоматология
Пластика преддверия полости рта
Пластика уздечек языка и губ
Пьезохирургия
Удаление ретенированных зубов
Удаление зубов
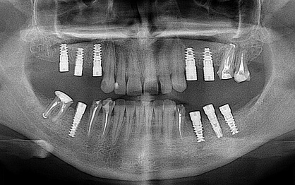
Имплантация – это метод восстановления утраченных зубов, что позволяет вернуть эстетику улыбки и комфорт во время еды. Процедура состоит из установки имплантата, служащего искусственным корнем зуба, и фиксации на нем коронки, полностью имитирующей натуральный зуб. В клинике «Кристалл Дент» существует услуга имплантации зубов, которая помогает восстановить утраченные зубы и вернуть здоровье.
Методи імплантації в стоматології
1 класичний (традиційний) метод
Класичний метод – популярний, застосовуваний із 1980-х років. Лікування триває понад рік і включає етапи:
- очікування після видалення зуба (1,5-3 місяці);
- нарощування кісткової тканини за її нестачі;
- встановлення імплантату через 5 місяців після пластики кістки;
- фіксація коронки через 4-6 місяців після імплантації.
Але з розвитком імплантації застосовується не часто.
2 одномоментна імплантація зубів
Одномоментна імплантація дає змогу встановити імплантат відразу після видалення зуба. Метод підходить за достатнього рівня кісткової тканини. Якщо вам потрібна імплантація зубів в Києві недорого, тоді краще записатися в нашу клініку заздалегідь на консультацію до лікаря й уточнити деталі.
Переваги:
- Відновлення зуба за 2-4 відвідування.
- Мінімальний дискомфорт після процедури.
- Підходить для пацієнтів, які бояться операцій.
- Можливість установки імплантату відразу після видалення зуба.
- Індивідуальний підбір системи.
3 Відстрочена імплантація зубів
Сучасний метод дентальної імплантації, що дає змогу встановлювати імплантати навіть за мінімального рівня кістки (від 4 мм)
Переваги:
- подібні послуги імплантації зубів підійдуть усім, незалежно від наявності зубів;
- імплантацію проводять через 1,5-2 місяці після видалення зуба;
- тимчасовий протез можна встановити відразу після імплантації.
Переваги встановлення зубного імпланта
До основних переваг належать такі:
- Природні відчуття. Імплантати не відчуваються як чужорідне тіло, унеможливлюють дискомфорт, проблеми під час жування і запалення через скупчення їжі.
- Збереження кісткової тканини. Імплант імітує корінь зуба, запобігаючи атрофії кістки за рахунок жувального навантаження.
- Естетика. Індивідуально виготовлені коронки мають вигляд як натуральні зуби, не відрізняються від справжніх.
- Форма ясен. Формувач контуру зберігає природний вигляд м’яких тканин, чого не дають знімні протези.
- Захист сусідніх зубів. Не потрібне обточування або депульпування здорових зубів, як у разі мостоподібних протезів.
- Довговічність. Якісний імплантат служить довічно, що робить його вигідним у довгостроковій перспективі.
протипоказання
Відносні протипоказання
Зубний протез на імплантатах не варто встановлювати в таких випадках:
- захворювання пародонту;
- місцеве запалення;
- недостатня гігієна порожнини рота;
- бруксизм;
- занадто мало кісткової маси;
- захворювання і дегенерації навколо скронево-нижньощелепного суглоба;
- вагітність;
- прийом деяких ліків;
- куріння сигарет,
- захворювання нирок і серцево-судинної системи
Відносні протипоказання
Зубний протез на імплантатах не варто встановлювати в таких випадках:
- захворювання пародонту;
- місцеве запалення;
- недостатня гігієна порожнини рота;
- бруксизм;
- занадто мало кісткової маси;
- захворювання і дегенерації навколо скронево-нижньощелепного суглоба;
- вагітність;
- прийом деяких ліків;
- куріння сигарет,
- захворювання нирок і серцево-судинної системи
Основні етапи імплантації
У стоматології процес зазвичай ділиться на два ключові етапи: підготовка і встановлення імплантатів. Вартість протезування зубів на імплантатах можна уточнити у лікаря після огляду та оцінки стану порожнини рота. Для точного розуміння процедури слід розглянути весь процес у деталях, розбивши його на шість кроків:
1 Підготовчий етап
Тривалість: 2-4 тижні, а за необхідності додаткових процедур – до 6 місяців.
На цьому етапі лікар проводить обстеження, включно з рентгеном і КТ, щоб оцінити стан щелепної кістки. За необхідності може знадобитися лікування карієсу, усунення запалень або кісткова пластика.
2. Хірургічне вживлення імплантату
Імплантація зубів у Києві до 5-6 місяців.
Це найтриваліший етап, під час якого нижня частина зуба (імплантат) встановлюється в кісткову тканину. Після операції починається процес остеоінтеграції – приживлення імплантату до кістки.
3. Встановлення формувача ясен
Тривалість: 10-15 днів. Після успішного приживлення імплантату встановлюється формувач ясен – невеликий елемент, який допомагає підготувати м’які тканини для майбутньої коронки.
4. Сканування
Час процедури: 15-30 хвилин.
Сканер передає положення імпланта в кістці і по відношенню до сусідніх зубів, і інформацію передають у лабораторію. Процедура швидка, але точність її виконання вкрай важлива.
5. Протезування
Тривалість: до 2 тижнів.
На фінальному етапі виготовляється і встановлюється коронка – зовнішня частина зуба. Хоча процес виготовлення коронки займає деякий час, встановлення виконується швидко і безболісно.
6. Реабілітація
Тривалість і вартість протезування зубів на імплантатах залежить від обраної технології та дотримання рекомендацій лікаря. На цьому етапі важливо стежити за гігієною ротової порожнини і регулярно відвідувати стоматолога для контролю.
7. Індивідуальний підхід
Кожен випадок унікальний, тому терміни й етапи можуть варіюватися. Щоб дізнатися точний час лікування, важливо проконсультуватися з фахівцем, який розробить план імплантації з урахуванням усіх особливостей пацієнта.
Восстановление Эстетики
Протезирование
Ціни зі встановлення імплантів
Услуга
Цена
Первичный прием хирурга-имплантолога (осмотр, консультация, план лечения)
900
Консультация ведущего хирурга-имплантолога
2500
Установка одного імпланта, OSSTEM під ключ (імплант, формувач ясен, металокерамічна коронка) * в вартість входить анестезія, рентген, накладення швів.
від 32 000
Обезболивание
100
Сомневаетесь в выборе? Мы подберём подходящую услугу!
Заполните форму, и мы свяжемся с вами в течение 10 минут в рабочее время